Call us on: +356 2166 7691 or +356 7966 7691

  • Your Teeth and Smile are our Passion

Cosmetic and Restorative

With crowns, severely damaged teeth can be restored to their previous beauty and function, while missing teeth are replaced with practically invisible bridges.

Find Out More

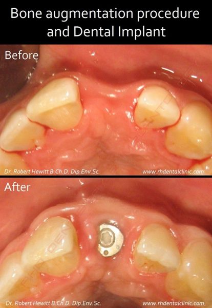
Oral Implantology

Even the loss of a single tooth can greatly affect the appearance and function. An implant is an artificial tooth root in the form of a screw, usually made ​​of high quality titanium. It is anchored in the jawbone under local anaesthesia and serves as a basis for a crown, bridge or denture.

Find Out More

Orthodontics

Many people are unhappy with the position of their teeth. However, the opinion that adults cannot correct this misalignment is incorrect. Often, we can correct this misalignment by fitting invisible braces.

Find Out More

Periodontal (Gum) Therapy

In addition to caries,  periodontal disease is one of the most common oral
diseases. If detected early enough it can be treated. Then, we can apply measures to protect against subsequent bone loss and tooth loss.

Find Out More

Case Studies

Periodontal (gum) plastic surgery case

This 23 year old young woman presented at our clinic  for a normal routine check up. She also complained of a somewhat gummy smile and short front teeth.  She agreed to undertake further investigations such as a CBCT scan and bone sounding to determine the level of the bone holding  her teeth in the jaw. […]

Complete oral rehabilitation case

This 24 year old woman presented to us with constant pain from all back teeth.  Since she was pregnant at the time, the pain was causing her significant distress. On examination we found a state of general neglect with decay in most of her molar/premolar teeth. Emergency extractions were planned and executed to relieve her […]

We've collated a number of case studies that encompass various situations and the treatment provided. If you would like to check these out - just visit this section.
Testimonials
  • I would like to thank Dr. Roberto Cutajar for the very good work he did for me. I am satisfied a lot with the result. I highly recommend.

    Aggeliki Koulouri (Athens, Greece)

  • Second to none, very friendly also.

    Joseph Borg (Sliema, Malta)

  • I am dead scared of doctors and especially dentists, but Dr Hewitt makes me feel safe. Thanks God I found such a dedicated and intelligent dentist. God bless him.

    Mary Muscat (Fgura, Malta)

  • Dr. Hewitt is the best dentist I ever met, dedicated and patient and gives a better result you have ever expected.

    Jonathan Hili (Zabbar, Malta)

  • Needed some advice regarding dentures. I was contacted immediately and an appointment was set. Very nice people and very good service!

    Samantha (Malta – verified whatclinic review) 

  • I was very happy with my dental consultation. I will be returning to them whenever I need work to be done. This was a great experience!!

    Diana (South Africa / Malta)

  • Very satisfied with their service. Honest and very hard working.

    Sarah Xuereb (Marsascala, Malta)

  • Highly recommended. Very modern, very professional!

    Marta Wiecek (Poland)

  • Very friendly helpful and very patient. I am very satisfied. Highly recommended. Thank you!

    Frankie Debono (Marsascala, Malta)

  • Very professional, patient and friendly staff Highly recommened ☺

    Christabel Grima (St. Lucija, Malta)

  • I would like to thank all the staff at RHD Dental Clinic especially Dr Roberto Cutajar (Dental Surgeon) for his expertise, dedication and patience with me during my ectopic 23 canine removal surgery. A+ treatment during surgery and A+ during my follow up. Thank you!

    Jamie Harkins (Rabat, Malta)

  • Many thanks to all the professional staff at RHD clinic especially Dr Robert Hewitt for taking care and supporting my elderly mum today when we called for an emergency appointment. Great staff and very well equipped clinic.

    Loranne Briffa (Fgura, Malta)

  • More than impressed with Dr. David! Very careful and friendly person! 5 stars!

    Dimana Petrova (Attard, Bulgaria)

  • Amazing staff, so welcoming 🙂 The clinic is nice and clean.

    Natalie Brydon (Zejtun, Malta)

  • Definitely would recommend this state of the art dental clinic. Great service especially considering that I had an emergency call and had the service within 30 minutes after calling. Very clean and friendly environment.

    Fiona Azzopardi (Tarxien, Malta)

  • Once again visited this clinic with my son for a filling. Ever since our first visit this clinic has become the obvious choice. Dr David has a way with kids putting them at ease and at the same time taking them through the process so besides the clinic being equipped with the latest technology they […]

    Johann Gatt (Kirkop, Malta)

  • Highly recommend especially Dr. David. He’s very professional, patient and gentle.

    Tristan Nappa Licari (Birkirkara, Malta)

  • All recommendation! Good, Fast, No pain, Perfect..

    Nenad Potočan (Ghaxaq, Malta)

  • I highly recommend RHD Clinic. Especially Dr.Hewitt for making sure I was 100% Satisfied with the result. Super friendly staff and very welcoming. Always wanted to fix my teeth and never found the perfect dentist which I could trust, i finally found one. Keep up the great work 🙂

    Michelle Muscat (Zurrieq, Malta)

  • Professional service and a very pleasant, modern and very well equipped clinic.

    Anita Mifsud (Mellieha, Malta)

  • Dr Robert Hewitt is one of a kind dentist. Really professional and his team too. Thank you!

    Natasha Spiteri Busuttil (Xghajra, Malta)

  • Prosit RHD Clinic tax-xogħol u servizz li qed tatu lilna l-klijenti. Nirrakomanda ħafna lil Dr Hewitt tal-pariri, assistenza u gwida professjonali tajba li tani. Nirrakomanda wkoll lil Ms Mary Jane tax-xogħol eċċellenti li għamlitli fit-tindif ta’ snien. GRAZZI!

    Yanika Schembri Fava (Marsa, Malta)

  • RHD Clinic is a sure bet. Friendly environment with both the dentists and their assistants making everyone feel at ease. Highly recommended and will surely be back when needed. Keep it up!

    GP Azzopardi (Luqa, Malta)

  • I would like to thank Dr Robert Hewitt and his assisting staff at RHD Dentistry & Implantology Clinic for their excellent work. Thank you for always being ready to give a service with a smile. Today I am one very happy client.

    Anna Grech (Mellieha, Malta)

  • Well done. If you are afraid from the dentist, do not be from RHD dental clinic. Very friendly doctors and a team that makes you comfortable

    Robert Seguna (Birzebbuga, Malta)

  • I definitely recommend. Friendliest of staff with latest technology and very welcoming ambience. Once you visit it will become an obvious choice.

    Johann Gatt (Kirkop, Malta)

  • Excellent service by Dr Hewitt   Clinic is very wheelchair accessible.. Thank You  

    Yanica Galea (Birzebbuga, Malta)

  • Thanks to Dr Hewitt and his team for their dedication and good work. Went with my 2 daughters which were so tense before they went in but, thanks to the Hygenist and Dr Robert Hewitt the kids calmed down and everything went well. Not afraid to be back again. Highly Recommended.

    Michelle Sciriha Arnaud (Mosta, Malta)

  • I recommend Dr. Robert Hewitt and his team for their dedication, professionalism and great service. I had been experiencing eye and facial pain for two years. During these years I visited several specialists and done several tests and no one could identify what was causing all the pain. Before loosing all hope I decided to […]

    Marisa Zahra (Mosta, Malta)

  • Would not trust anyone else with my dental care! The clinic is state of the art and impeccably clean! But most importantly extra care is taken to make sure patients are comfortable throughout treatment!

    Valerie Bonsfield (Swatar, Malta)

  • Thank you so much Dr Robert Hewitt and staff for the excellent service and treatment I am being given at your clinic. Keep up the good work and atmosphere 🙂 Sue

    Susan Sciberras (Zabbar, Malta)

  • Thanks a lot for great work to professional Dr.Robert Hewitt!!!!!!!!!!!!!!!

    Anna Okhrimenko (Malta / Ukraine)

  • Well done to all the team at RHD Dental Clinic. Dr. Hewitt is very helpful and guided me through all the procedure of the dental implant, explained everything in detail and all the procedure was pain free. I am really happy and satisfied 🙂 A big thank you!

    Doreen Cassar (Marsaxlokk, Malta)

  • Impeccable service with friendly staff   !!! Makes my trips to the dentist more enjoyable!! Keep it up.

    Amy Baldacchino (Luqa, Malta)

  • If you are in trouble and need good work done Dr. Hewitt will do just this as for me all his promises he kept to. Full thank you Dr. and also to the technician.

    Katja Tanti (Bugibba, Malta – Moscow, Russia)

  • Excellent service with my exeperience. The dentist is very good, he cleaned my teeth very well and he saved my front tooth instead of pulling it out- he find ways to keep it and I’m happy for that. So, it is highly recommended!

    Florisa de Jesus (Tarxien, Malta)

  • Amazing service by Dr. David Schembri!

    Jan Cauchi (Kalkara, Malta)

  • I have known Dr.Robert since we were students at Liceo Vassalli. A very committed and bright student who didn’t settle for second best. These characteristics have grown with him and today shine through his professional career as a dentist. I highly recommend RHD Dental Clinic to any person who like myself rates his/her oral health […]

    Paul Vella (St. Venera, Malta)

  • No more fear of dentists since i visited there! Big well done!

    Jonathan Cutajar (Zabbar, Malta)

  • Very dedicated staff and couldn’t be more helpful. Would have no hesitation in recommending the clinic to friends.

    Julie Major (Marsascala, Malta)

  • Excellent service as always, well done to all!

    Ruth Spiteri (Zejtun, Malta)

  • Excellent service in a truly warm environment!

    Christine Fenech (St. Julians, Malta)

  • Been using Dr. Hewitt for 22 years. Excellent services every time I visited!

    Michelle Vella (Zabbar, Malta)

  • The team of dentists at RHD are very helpful and always honour your needs with a smile. I’ve been using the service of Dr Robert Hewitt since he opened his first clinic and was always satisfied with the service. Very professional!

    Natasha Gilson (Paola, Malta)

  • I have been going to this clinic for quite a few years now… it must be more than 10 years, and I have always had the best treatment one would expect from a dentist. In my opinion, Dr Robert Hewitt besides being a very professional dentist, he is also very sensitive to his clients’ needs…. […]

    Rita Gatt (Paola, Malta)

  • I had such a great time during my tooth extraction! Very polite and friendly staff and Dr. David was awesome! I highly recommend this place!

    Faye Alamango (Zabbar, Malta)

  • I’ve been going to Dr. Hewitt’s dental clinic well before the place was refurbished to such a high standard. This clinic presents a truly pleasant and hygienic environment. But above all I find the professional service offered by Dr. Hewitt as impeccable. Highly recommended!

    Raymond Briffa (Kalkara, Malta)

  • Best dental clinic. Amazing service and wonderful staff. Well served for the past 15 years.

    Claire Shephard (Swieqi, Malta)

  • Today I took my younger daughter for the first time. The experience was positive. The dentist and his assistant were incredibly kind. They managed to do an outstanding job. My daughter is going back without any hesitation.

    Mariella Cutajar (Tarxien, Malta)

  • From my very first visit at RHD Dental Clinic I was made to feel welcome and comfortable both by the friendly staff and the pleasant environment of the clinic itself. The clinic’s main priority is making sure that patients are comfortable and get the best dentistry services. After deciding to fix my teeth I really […]

    Maria Atanasio (Ghaxaq, Malta)

  • Top notch service and time efficient. They explain everything very well and not to mention the very friendly staff! Definitely recommended.

    Annabel Arnaud (Tarxien, Malta)

  • RHD Dental clinic is fascinating , staff are brilliant and pain does not exist! Good job and a big thanks to Dr David Schembri.

    Tony Cutajar (Gzira, Malta)

  • Highly recommended – Great staff. Dr. Hewitt and Mary Jane did a great job with my husband. Today I was assisted by Dr.David –  he was amazing. RHD clinic is the best dental clinic I’ve ever been..  Thanks for everything!

    Charmaine Ghigo (Tarxien, Malta)

  • I came today to the clinic and I am very satisfied. Very professional. I recommend to anyone.

    Simon Falzon (Paola, Malta)

  • Professionalita’, servizio eccellente e molto pulito. Lo consiglio a tutti.

    Andrea Mara (Italy)

  • What can I say, this clinic took the dentist scare away. Wish dentists were anything like this in Germany. RHD Clinic gave me a very different experience. I didn´t see Dr. Hewitt but I am really happy with his colleague Dr. David Schembri. I can only recommend the clinic, especially if you have had bad […]

    Sabine Henning (Xghajra, Malta. Germany)

  • Beautiful ambience and very nice people. Dr. Hewitt and his staff are highly professional. The fact that you are always welcomed with a smile is just enough! Well done everyone!  🙂

    Stephanie Cacciattolo (Valletta, Malta)

  • Very well served by Ms. Mary Jane Galea at RHD Dental Clinic. She made me feel at ease during the whole process and that is of utmost importance as I am extremely scared of the dentist. The clinic is top-notch and filled with all the latest technology. I am very happy with the work done on my […]

    Daniel Falzon Mallia (Cospicua, Malta)

  • Very professional, clean and welcoming place. I extremely recommend it! Well done to all the staff!

    Joanne Ciantar (Marsascala, Malta)

  • I highly recommend RHD Dental Clinic for any treatment. The staff is very professional.

    Monica Mizzi (Tarxien, Malta)

  • Excellent painless dental work and beautiful modern clinic. Very well done!

    Joe Camilleri (Mosta, Malta)

  • Great working environment for all staff. Really kind and helpful staff. Relaxing waiting area for all patients.

    Myron Saliba (Tarxien, Malta)

  • Highly recommended. Excellent pain free work was done on me! Keep it up!

    Stephanie Vella (Pieta, Malta)

  • Extremely satisfied with the dental implant work done on me. Thumbs up for the caring five star service and beautiful ambience. Well done!

    James Abela (Sliema, Malta)

  • Very professional, very clean, fitted me in at last minute and always explain exactly what they are doing, felt at ease, and do not over charge you. Thank you!

    Denise Sanders McNaughton (Marsascala, Malta)

  • Very beautiful clinic, polite staff, I’m really satisfied! Thank you Dr. David, you did a great job! I’m very happy I found this clinic! Highly recommended!

    Jessica Csorba (Paola, Malta)

  • Excellent and really professional service. Thanks!

    Angele Zerafa (Tarxien, Malta)

  • I’m giving a 5 star review since I’ve had the most amazing dental experience one could ever ask for ! Dr. Hewitt and his staff are very professional at what they do. Dr. Hewitt is a perfectionist and he won’t let you leave the clinic until he reaches the desired result in a client. Apart […]

    Angie Bonnici Garrett (Paola, Malta)

  • The service given by the dentists as well as the staff is incredible! Not only are they kind and professional but when asked questions (as I’m very inquisitive), they explain and give the necessary information that helps understand certain procedures. They treat you with a smile, and you leave the clinic with a healthy smile! […]

    Deandra Cutajar (Ghaxaq, Malta)

  • I would absolutely recommend this dental clinic to everyone. I went in for a consultation and Dr Hewitt explained all the options I could choose from. His clinic is top notch – clean, welcoming and filled with all the latest technology. All the staff are super nice and friendly and make you feel at ease […]

    Valentina Oliva (Paola, Malta)

  • Excellent service by Dr . Hewitt and all team! Very professional and friendly!

    Dorianne Galea (Tarxien, Malta)

  • Definitely a team to recommend! Dr Hewitt and his team are very committed to the well being of their clients: very caring and professional. The clinic boasts the latest technology, providing solutions for any kind of situation using the most modern and safest treatments possible.

    Melanie Cini (Marsascala, Malta)

  • Never expected to get such a gorgeous smile! Dr. Robert performed a miracle – out of tiny scary little teeth I got a true Hollywood smile!! Super grateful!! Thanks so much!

    Alina Tomashova (St. Petersburg, Russia)

  • 5 stars not enough! First day visit under Dr.Hewitt, did filling, amazing work and pain free. Thanks to all see you next appointment 🙂

    Sandro Agius (Zabbar, Malta)

  • Excellent service offered by Dr Hewitt and his team, all my family is under the care of Dr Hewitt and we were always given the best treatments available. The new clinic is a top notch, very nice and extremely hygenic and clean, I recommend RHD Dental clinic to everyone.

    Ryan Attard (Il-Gharghur, Malta)

  • Everything about the service is excellent. The staff, in particular Mary Jane and Dr. Hewitt, are extremely welcoming and go the extra mile to really ensure that the patient is both comfortable and well-informed about the treatment he/she will receive. This was exceptionally important for me being as I am extremely scared of the dentist! […]

    Katia Abela (Paola, Malta)

  • Nothing but the very best at Dr Hewitt’s dental clinic. I and all my family have been attending the clinic regularly for many years. The service is excellent, state of the art equipment and most importantly Dr Hewitt and his staff manage to calm down children (and adults) who are apprehensive of the dentist. Keep […]

    Charles Alamango (Marsascala, Malta)

  • Dr Hewitt and his team are extremely professional in the way they handle any situation. They are especially good with children as well. My kids have no problem at all visiting the clinic and undergoing treatment. They confirm appointments and are always available when needed. Keep up the good work…

    Antoine Gatt (Sliema, Malta)

  • Dr Hewitt and his team are extremely professional especially Mary Jane who is so friendly and caring. My first 2 visits were utterly pleasant notwithstanding the cleanliness and the beautifully decorated clinic. Also they stick to the time agreed for the appointment as one does not have to wait for hours to be seen, which is […]

    Gail Goodlip (Sliema, Malta)

  • Dr Hewitt and his team are very professional, supportive and caring. The staff is also very helpful and friendly. The hygiene in the clinic is optimal and the modern finishing of this clinic gives you a warm welcome as well. My sincere recommendation and reference to all, is to go visit Dr Hewitt 🙂

    Daniela Griscti (Marsaxlokk, Malta)

  • Excellent service from a professional…..surely recommended…….

    Romina Bruno Arnaud (Mtarfa, Malta)

  • Highly recommended … Friendly and professional people for many years … they give me and my kid a sticker after the session 😀 Nice ambient! Well done for the new clinic.

    Jean Attard (Paola, Malta)

  • Been visiting Dr Hewitt’s clinic for quite a while now, and all I have are words of praise. It’s not just about their excellent service, but also their amazing clinic, and top notch hygiene which makes you feel safe. I totally recommend Dr Hewitt and his team.

    Mariella Trevisan (Zejtun, Malta)

  • Finally I found a dentist in Malta! I have checked out 7 others and could not bring myself to get checked. Mary Jane and Dr Hewitt took my fear away in less than 3 minutes. Had a checkup, x rays and cleaning done and felt so secure and happy, that I made a follow up […]

    Karin Perez Delgado (Marsascala, Malta)

  • When we initially moved to Malta at the end of 2002, we were looking for a good dentist. My personal assistant recommended to us Dr. Robert Hewitt in Paola. From the very beginning my wife and myself were thoroughly impressed with the very high level of professional treatment both of us have received from Dr. […]

    Katharina and Ernst Funk (Zurich, Switzerland)

  • A state of the art clinic, with professional staff. My regular check up at RHD is always a positive experience, as they provide a sterling service while at the same time they keep the patients at ease at all times. I highly recommend it.

    Pierre Bugeja (Cospicua, Malta)

  • Excellent service, atmosphere and staff!!

    J.J. Chircop (Attard, Malta)

  • Modern and hygienic facilities with extremely helpful and professional staff…highly recommended!

    Jasmine Chircop (Attard, Malta)

  • A state of the art dental clinic which includes modern facilities, remarkable standards of hygiene and a comfortable pleasant environment. Above all, an outstanding quality service is provided by professional dedicated staff in a courteous manner. Highly recommended! 🙂

    Monica Chircop (Attard, Malta)

  • Excellent service and very professional!! Well done.

    Mark Grech (Qormi, Malta)

  • I am one of those persons who was always nervous of the dentist. At RHD it changed for the better. Hassle free, no nonsense service in a state of the art clinic.

    Pierre Axiaq (Xghajra, Malta)

  • Always served in a professional way and to high standards by Dr Robert Hewitt. I have been a regular visitor at his clinic for the past twelve years and I fully recommend him.

    Reuben Sciberras (Qrendi, Malta)

  • State of the art Dental Clinic, friendly staff, I highly recommend.

    Raymond Galea (Birkirkara, Malta )

  • Very professional clinic, highly recommended!

    Juanita Arnaud (Netherlands)

  • Very professional and of a high standard. As a regular visitor, I would fully recommend this clinic.

    Raymond Attard (Paola, Malta)

  • The no 1 dentist in Malta, we are a family of 6 and we all have been taken care of, from my youngest son who is 8 yrs old to me…

    Omar Xuereb (Fgura, Malta)

  • State of the art dental clinic, with highly skilled professionals always there to suit your needs. Highly recommended.

    Luke Bowerman (St. Paul’s Bay, Malta)

  • Great dentist and all his staff!! Have been his client for 15 years now and never had a problem!

    Erskine Vella (Vittoriosa, Malta)

  • Professional work as always .

    Mark Galea (Fgura, Malta)

  • Helpful staff, professional work, welcoming ambiance, state of the art clinic 😉 well done 🙂

    Katia Caruana (Zejtun, Malta)

  • Great dentist and facilities. Heaven for your teeth!

    James Sacco (Iowa, United States)

  • I would recommend Dr Robert Hewitt and his staff at RHD Dental Clinic to anyone needing any dental treatment, especially to those who are scared of going to a dentist. Definitely you’ll get a sterling service at this ultra modern and hygienic clinic. Thumbs up!

    Kevin Curmi (Tarxien, Malta)

  • Very professional clinic, surely recommended.

    Alison Arnaud (Gzira, Malta)

  • A state of the art clinic, with professional staff. My regular check up at RHD is always a positive experience, as they provide a sterling service while at the same time they keep the patients at ease at all times. I highly recommend it.

    Celaine Buhagiar (Cospicua, Malta)

  • A well equipped modern clinic, with professional service and kind staff.

    Alexandra Camilleri (Birkirkara, Malta)

  • The best of the very best. Great service and excellent dentist. Simply one of a kind.

    Angele Magro (Zabbar, Malta)

  • I would recommend RHD Dental clinic. Excellent staff and so hygienic.

    Osbert Zammit (Mqabba, Malta)

  • Excellent service. Impressed. Keep up the good work!

    Amanda Cassar (Kalkara, Malta)

  • I have been going to Dr.Robert Hewitt for many years now, and I would say that he is the best dentist on the island!

    Mr. Arthur Calleja (Siggiewi, Malta)

  • I recommend Dr Hewitt to those who are frightened of dentists. He’s one of the very best!

    Ms. Norma Gabaretta (Birzebbuga, Malta)

  • State of the art clinic !!! The atmosphere is designed to put patients at their ease while the staff do their utmost to make the experience as seamless and pleasant as possible. Well done !!!

    Keith Sultana (Birkirkara, Malta)

  • Highly professional and latest equipment used. Staff is superb and very diligent in their work. Had a number of fillings which were done professionally and very satisfied. Well done guys and keep up the very good work.

    Ian Grech (San Gwann, Malta)

  • Latest professional equipment used, and well trained professional staff. Keep up the good job. 🙂

    Romina Grech (San Gwann, Malta)

  • 5 star deluxe dental clinic, professional staff and Dr Hewitt’s work left me speechless. I was really satisfied. Thanks.

    Aaron Sultana (Paola, Malta)

  • Very professional dental clinic, with friendly staff and very well equipped too!

    Joseph Mangion (Fgura, Malta)

  • Great with kids, always an awesome experience 🙂 Thank you Dr. you were wonderful! Cartoons to distract him, showing and explaining everything and to put the cherry on top, a little gift at the end!  

    Damita Coulaud (Birkirkara, Malta)

  • Professionalism and customer dedication at its best. Well done Dr. Hewitt.

    Anthony Pule (Marsascala, Malta)

  • Very professional dental clinic, highly recommended. Well done Dr. Hewitt.

    Rita Pule (Marsascala, Malta)

  • Very professional and high quality treatment, staff are very warm and friendly. Definitely the dental clinic to go to for all treatment!

    Martha Fenech (St. Julians, Malta)

  • First class service guaranteed!! Readily recommend!

    Phillip Taylor-East (Sliema, Malta)

  • Very professional and modern clinic. I am always pleased and satisfied with treatments. Services with smiles.

    Victoria Abela Lungaro-Mifsud (Birzebbuga, Malta)

  • State of the art equipment and very competent staff with great manners.

    Mario Gauci (Xaghra, Gozo)

  • Well done tooth repair and helpful personell. Dr David did great job!

    Mr. Justas Darkintis

  • Best dental clinic, friendly staff & very professional. Highly recommended  ☺

    Ylenia Attard  (Zabbar, Malta )

  • Been going to RHD since I can remember. Very professional  service and excellent results. Friendly team  that help you relax and feel comfortable during your stay.

    Sue Micallef (Gudja, Malta)

  • We have been going to Dr Robert Hewitt’s clinic for years, for regular check ups. The professional service and hygiene are of the highest standard. The new clinic is amazing and furnished with the latest dental technology.  We recommend RHD any time.

    Marilyn Lia  (Sliema, Malta )   

  • Very well served. Today was the first time. Very good and friendly service. Very well served by Dr. David. Thank you!

    Matthew Aquilina (Attard, Malta)

  • Couldn’t be happier with the results!

    Josephine Spicer (Valletta, Malta)

  • Very beautiful place and clean. Nice staff love their smile !  

    Angelique Magro (Marsa, Malta)

  • Been there today for the first time. Very professional and friendly.. couldn’t be better!   

    Mark Vella  (Marsascala, Malta)

  • Excellent service from professional and dedicated people. Thanks!  

    SvetLana Bugeja (Zabbar, Malta)

  • Been today for the first time for an emergency. Very professional. Would recommend them to others. Will see me again…. and very friendly as well!  

    Adriano Cachia (Cospicua, Malta)

  • Very professional and friendly. Thanks for the patience!  

    Pam Zammit  (Msida, Malta)

  • Been there for the first time today, very professional and friendly staff and a very nice place. Thank you will see you soon. 🙂  

    Laura Schembri Magro  (Balzan, Malta)

  • Surely the best dentist on the island. Clean, patient, and knows what he is doing.. Highly recommended.  

    Julia Bonett (Gzira, Malta)

  • Finally I can smile again. Thanks Dr. Hewett. Very professional and excellent service.

    Noel Zerafa (Fgura, Malta)

  • Excellent service and warm clinic. Quite impressed Well Done!

    Rachel Borg (Marsascala, Malta)

  • Best & most professional dental clinic on the island!

    Wendy McKay (Ta’Xbiex, Malta)

  • I always received a professional advice and treatment from the best Dentist I have ever met. Thank you for your care and keep up the good work.

    Christian Sultana (Paola, Malta)

Submit a Testimonial

Book an appointment.

Get in touch with us to set an appointment and we will contact you within 24 hours.